Alzheimer's Disease
What is Alzheimers?
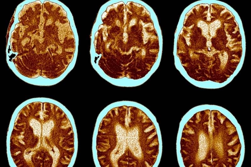
Alzheimer's disease (AD) is a disease where the brain loses its function of thinking, memory, and the ability to carry out the simplest of tasks in extreme conditions. It is mainly considered the disease of old age as most patients get diagnosed by age 65 or older.
One of the first symptoms of AD is 'Dementia' where the brain's ability to acquire and process new information decreases with time. Dementia can range in severity from mild form(forgetting something for a few seconds or minutes) to most severe, where the person depends entirely on others for help to carry out basic tasks of everyday life.
How is our body affected internally?
Scientists have found that the brain goes through severe changes in AD patients. The brain shrinks from its average size and toxic material keeps building up in different brain regions. A high number of protein deposits called Amyloid plaques and Tau tangles are specifically found to be deposited in the AD brain. These aggregated protein deposits cause previously healthy neurons to stop functioning, lose connections with other healthy neurons, and die. All these and many more changes cause brain to shrink.
AD can be categorized into mild, moderate and severe based on the severity of symptoms. Even with years of reaserch, the exact cause of the disease is not yet fully understood.The probable causes include a combination of genetic, exposure and lifestyle factors.
Read more Alzheimers.org
Designer T cells emerge as weapons against disease
T cells are immune cells that protect the body from infection and pathogens. Recently to use these immune cells have been used to fight diseases. These T cells are collected from the patient's body and engineered to recognize and kill the cancer cells (CAR-T therapy). Refer, A Living Drug Cell Therapy | Elio
Why CART Therapy works?
CART therapy is incredibly powerful, but sometimes they need a boost to make them fight harder and smarter against the disease. Now scientists are trying to empower these engineered CAR-T cells by adding further attributes e.g.- improving such treatment safety by adding safety genes to the cells. Thereby these 'modified- designer T cells' can work safely and precisely by not affecting healthy cells and only killing target cancer cells.
One of the tricks to maximize safety that can be used is adding a 'safety-switch' called synthetic Notch(synNotch) to these T cells, which can add unique power to decide whether to kill or not to kill! This is very similar to the logic gates , a tool often used by computer programmers : if condition A is met, do action B.
Since these designer T cells follow specific instructions(by genetic engineering), they can kill cancer cells very specifically. Another effort is ongoing to help these T cells not get exhausted or tired. Therefore these cells consume less energy and continue to fight the diseased cells for a very long period of time.


Great summary review.
ReplyDeleteIt appears that in the NIH video about Alzheimer's, that multiomics is used to diagnose and improve those with Alzheimer's disease. The CAR-T cell therapy information was very interesting as well. It seems like CAR-T cell therapy is very promising and helpful to many conditions. ~Cassina
ReplyDelete